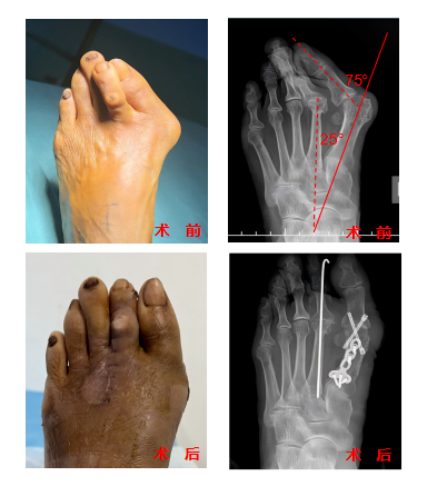
王阿姨年轻时总是抱怨自己“脚宽”,穿凉鞋时脚总被挤得红肿不堪,直到她的脚趾逐渐扭曲成“三角形”……近日,王阿姨来院就诊,经医生诊断,这并非天生脚宽,而是患上了足拇外翻。术后复查的那天,她特意穿来一双漂亮的新凉鞋,笑容满面地对大家说:“30年了,我终于能穿上漂亮的凉鞋了。”

一、什么是足拇外翻?
1. 医学定义:第一跖趾关节向外偏斜>15°,伴随大脚趾内侧骨赘形成。

2. 认知误区
天生“脚宽”→ 实为进行性畸形
只是不好看→ 后期可引发跖骨痛、鸡眼、关节炎

二、哪些人容易中招?
高跟鞋爱好者:前掌压力增加5倍
遗传倾向:母亲患病,女儿遗传风险↑60%
扁平足/类风湿患者:足弓塌陷加速畸形

三、阶段自测
早期表现:穿鞋后大脚趾内侧发红
处理方法:可换宽松鞋+硅胶分趾垫

中期表现:静止时可见明显偏斜
处理方法:定制矫形器+骨科门诊评估

晚期表现:第二趾叠压、行走剧痛
处理方法:需手术干预

足拇外翻不是美的终结者。当王阿姨在门诊走廊秀出她的新凉鞋时,我们看到的不仅是矫形手术的成功,更是一个女性重获生活品质的微笑。如果您正被“宽脚”困扰,不妨让梁平区人民医院骨科(一病区)的医生帮您做个专业评估,解决您的健康问题。